20元/张
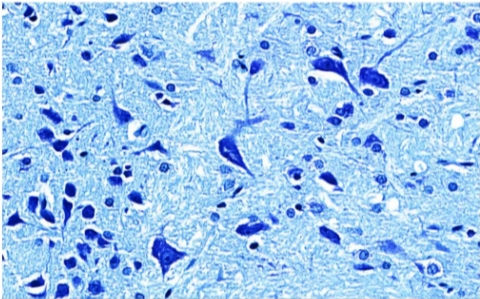
尼氏染色 (尼氏小体) 是一种经典的神经组织染色方法,主要用于显示神经元中的尼氏小体(Nissl Bodies)。尼氏小体是神经元细胞质中的粗面内质网和游离核糖体,它们在蛋白质合成中起重要作用。尼氏染色在神经科学研究和病理学诊断中具有重要价值。
结果判读:
神经元内的尼氏小体深蓝色或紫色(神经元细胞质中的粗面内质网和核糖体),细胞核呈淡蓝色,背景淡蓝色。
关注微信公众号
前往手机站
找寻抗体,试剂,细胞裂解液,试剂盒。
免费咨询电话:021-54222852 / 15921990938
【友情提示】:产品价格与说明书请点击上面的链接,在线询价,索要说明书
【重要提示】:因产品不断更新,官网说明书如与纸质版有出入,请以纸质版为准!
20元/张
尼氏染色 (尼氏小体) 是一种经典的神经组织染色方法,主要用于显示神经元中的尼氏小体(Nissl Bodies)。尼氏小体是神经元细胞质中的粗面内质网和游离核糖体,它们在蛋白质合成中起重要作用。尼氏染色在神经科学研究和病理学诊断中具有重要价值。
结果判读:
神经元内的尼氏小体深蓝色或紫色(神经元细胞质中的粗面内质网和核糖体),细胞核呈淡蓝色,背景淡蓝色。
| 购买人 | 出价 | 数量 | 购买时间 | 状态 |
|---|

防伪易碎商标贴,四招助您分辨真假。
产品均有现货,多家快递公司合作准时到达。
产品及实验问题,提供技术支持保障。

酶联官方手机二维码
微信扫描二维码,参与酶联活动
劲爆优惠触手可得!
本网站销售的所有产品仅用于工业应用或者科学研究等非医疗目的,不可用于人类或动物的临床诊断或治疗,非药用,非食用。


