价格:25元/样
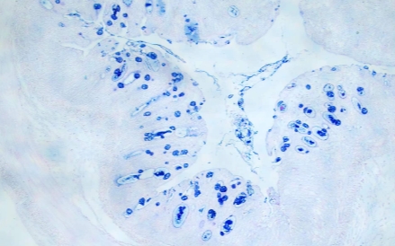
AB-PAS染色 是一种常用的组织化学染色方法,主要用于检测和区分组织中的酸性粘多糖和中性粘多糖。它在病理学、组织学和细胞学研究中广泛应用。
结果判读:
酸性粘液物质呈蓝色,糖原和中性粘液物质呈红色,混合型粘液物质呈蓝紫色或紫蓝色。
关注微信公众号
前往手机站
找寻抗体,试剂,细胞裂解液,试剂盒。
免费咨询电话:021-54222852 / 15921990938
【友情提示】:产品价格与说明书请点击上面的链接,在线询价,索要说明书
【重要提示】:因产品不断更新,官网说明书如与纸质版有出入,请以纸质版为准!
价格:25元/样
AB-PAS染色 是一种常用的组织化学染色方法,主要用于检测和区分组织中的酸性粘多糖和中性粘多糖。它在病理学、组织学和细胞学研究中广泛应用。
结果判读:
酸性粘液物质呈蓝色,糖原和中性粘液物质呈红色,混合型粘液物质呈蓝紫色或紫蓝色。
| 购买人 | 出价 | 数量 | 购买时间 | 状态 |
|---|

防伪易碎商标贴,四招助您分辨真假。
产品均有现货,多家快递公司合作准时到达。
产品及实验问题,提供技术支持保障。

酶联官方手机二维码
微信扫描二维码,参与酶联活动
劲爆优惠触手可得!
本网站销售的所有产品仅用于工业应用或者科学研究等非医疗目的,不可用于人类或动物的临床诊断或治疗,非药用,非食用。


