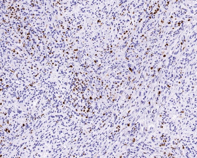
免疫组化 是一种利用抗原-抗体特异性结合原理,通过标记抗体检测组织或细胞中特定抗原(蛋白质)的技术。它在病理学诊断、生物医学研究和药物开发中具有广泛应用,能够定位和定量分析目标蛋白的表达和分布。
实验流程:切片脱蜡至水-抗原修复-3%的双氧水处理-画圈-血清封闭-一抗4℃过夜孵育-二抗室温孵育-显色-苏木素染核-脱水、透明、封片-镜检。
关注微信公众号
前往手机站
找寻抗体,试剂,细胞裂解液,试剂盒。
免费咨询电话:021-54222852 / 15921990938
【友情提示】:产品价格与说明书请点击上面的链接,在线询价,索要说明书
【重要提示】:因产品不断更新,官网说明书如与纸质版有出入,请以纸质版为准!
免疫组化 是一种利用抗原-抗体特异性结合原理,通过标记抗体检测组织或细胞中特定抗原(蛋白质)的技术。它在病理学诊断、生物医学研究和药物开发中具有广泛应用,能够定位和定量分析目标蛋白的表达和分布。
实验流程:切片脱蜡至水-抗原修复-3%的双氧水处理-画圈-血清封闭-一抗4℃过夜孵育-二抗室温孵育-显色-苏木素染核-脱水、透明、封片-镜检。
| 购买人 | 出价 | 数量 | 购买时间 | 状态 |
|---|

防伪易碎商标贴,四招助您分辨真假。
产品均有现货,多家快递公司合作准时到达。
产品及实验问题,提供技术支持保障。

酶联官方手机二维码
微信扫描二维码,参与酶联活动
劲爆优惠触手可得!
本网站销售的所有产品仅用于工业应用或者科学研究等非医疗目的,不可用于人类或动物的临床诊断或治疗,非药用,非食用。


