服务介绍:
数字切片扫描是将物质化的玻片标本快速数字化的过程,能高效、高清晰、全信息的图像采集,是真正脱离显微镜的阅片方式。能长期保存,可满足临床、科研、教学等多种用途。
实验流程:
(1)样片接收:石蜡切片、冰冻切片、细胞爬片等
(2)实验步骤:切片清理-入机扫描-结果整理
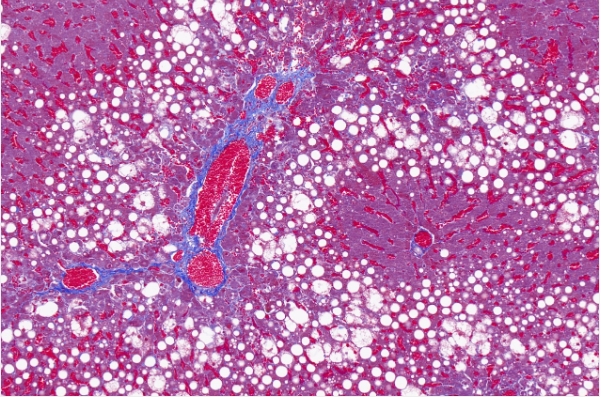
(3)实验结果:电子版扫描结果
关注微信公众号
前往手机站
找寻抗体,试剂,细胞裂解液,试剂盒。
免费咨询电话:021-54222852 / 15921990938
【友情提示】:产品价格与说明书请点击上面的链接,在线询价,索要说明书
【重要提示】:因产品不断更新,官网说明书如与纸质版有出入,请以纸质版为准!
服务介绍:
数字切片扫描是将物质化的玻片标本快速数字化的过程,能高效、高清晰、全信息的图像采集,是真正脱离显微镜的阅片方式。能长期保存,可满足临床、科研、教学等多种用途。
实验流程:
(1)样片接收:石蜡切片、冰冻切片、细胞爬片等
(2)实验步骤:切片清理-入机扫描-结果整理
(3)实验结果:电子版扫描结果
| 购买人 | 出价 | 数量 | 购买时间 | 状态 |
|---|

防伪易碎商标贴,四招助您分辨真假。
产品均有现货,多家快递公司合作准时到达。
产品及实验问题,提供技术支持保障。

酶联官方手机二维码
微信扫描二维码,参与酶联活动
劲爆优惠触手可得!
本网站销售的所有产品仅用于工业应用或者科学研究等非医疗目的,不可用于人类或动物的临床诊断或治疗,非药用,非食用。


