项目介绍
透射电镜(TEM)利用电子束作光源,用电磁场作透镜,经加速和聚集的电子束投射到非常薄的样品上,形成明暗不同的影像,TEM在中和物理学和生物学相关的许多科学领域都是重要的分析方法,如基础医学研究、病毒学、材料科学、以及纳米技术、半导体研究等等。透射电子显微镜的分辨率比光学显微镜高的很多,分辨力可达0.2nm,200-200k倍之间连续可调; 可以用于观察样品的精细结构,甚至可以用于观察仅仅一列分子的结构。
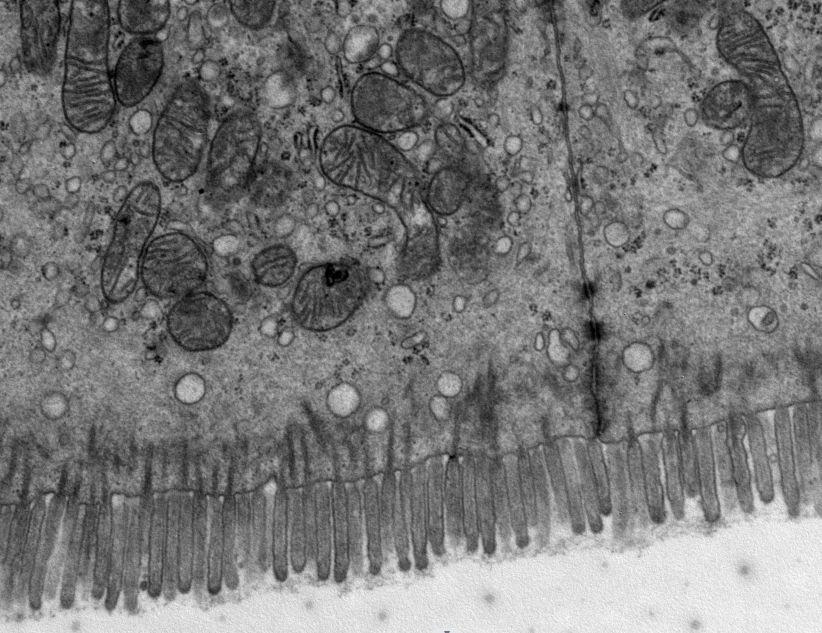
透射电镜(TEM),全称透射电子显微镜,是把经加速和聚集的电子束投射到超薄切片的样品上(通常70-90nm),电子与样品中的原子碰撞而改变方向,从而产生立体角散射。散射角的大小与样品的密度、厚度相关,因此可以形成明暗不同的影像,影像将在放大、聚焦后在成像器件上显示出来。是一种高分辨率(0.1nm-0.2nm)、高放大倍数(0.2K-600K)的显微镜。是观察和研究物质超微结构的强有力工具。透射电镜在细胞生物学、组织学、病毒学、病理学、分子生物学、材料科学等诸多领域具有广泛应用。可以观测动物植物细胞超微结构,如线粒体、内质网、高尔基体、溶酶体、叶绿体、液泡、细胞内生细菌等结构及病理变化。可以观测病毒颗粒、外泌体、病原微生物、各类细菌真菌、纳米材料及纳米颗粒、晶体结构。





